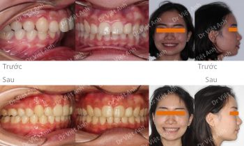
Tình trạng vẩu cải thiện rõ rệt sau khi niềng răng mặt trong nhổ 4 răng để chữa hô
Hình ảnh trước khi niềng răng tại trung tâm niềng răng chuyên sâu Thạc sĩ Bác sĩ nội trú Việt Anh: khách hàng có tình trạng hô khá nặng, môi nhô nhiều, cằm lẹm, răng cửa chìa, hơi lộn xộn Phương án niềng răng mắc cài mặt trong: nhổ 4 răng số 4, kéo đóng…
