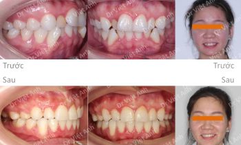
Niềng răng mặt trong hàm trên kết hợp mặt ngoài hàm dưới điều trị một trường hợp hô, nhổ 4 răng
Hình ảnh trước khi niềng răng tại trung tâm niềng răng chuyên sâu Thạc sĩ Bác sĩ nội trú Việt Anh: khách hàng cảm thấy bị hô, răng cửa chìa, góc nghiêng môi nhọn, răng hàm bên trái bị cắn chéo dạng kéo (hàm trên nằm quá ra phía ngoài so với hàm dưới) Phương…
