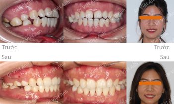
Trường hợp hô, khấp khểnh nặng được khắc phục bằng mắc cài pha lê, nhổ 4 răng
Hình ảnh trước khi niềng răng tại trung tâm niềng răng chuyên sâu Thạc sĩ Bác sĩ nội trú Việt Anh: răng khấp khểnh nặng, 2 chiếc răng cửa tụt hẳn vào trong, góc nghiêng hô nhiều, cằm lẹm, đường giữa 2 hàm lệch nhau Phương án niềng răng mắc cài pha lê: nhổ 4…
