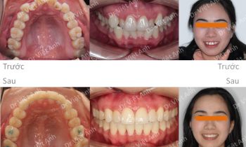
Trường hợp răng hàm trên chìa, cười hở lợi, khớp cắn sâu được khắc phục bằng mắc cài pha lê, không nhổ răng
Hình ảnh trước khi niềng răng tại trung tâm niềng răng chuyên sâu Thạc sĩ Bác sĩ nội trú Việt Anh: khớp cắn sâu, răng cửa hàm trên chìa nhiều, môi trên hơi nhô, cười hở lợi Phương án niềng răng mắc cài pha lê: không nhổ răng, kéo lùi toàn hàm trên bằng minivis,…
