Niềng răng mặt trong khắc phục móm, khớp cắn ngược bằng phương pháp di xa toàn hàm dưới
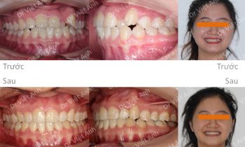
Hình ảnh trước khi niềng răng tại trung tâm niềng răng chuyên sâu Thạc sĩ Bác sĩ nội trú Việt Anh: khách hàng có tình trạng khớp cắn ngược, cười không thấy hàm trên, góc nghiêng móm, đường giữa hàm dưới lệch sang phải Phương án niềng răng mắc cài mặt trong: không nhổ răng,…
