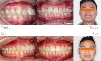
Trường hợp hô, răng chìa, khớp cắn đối đầu được khắc phục bằng mắc cài kim loại, nhổ 4 răng
Hình ảnh trước khi niềng răng tại trung tâm niềng răng chuyên sâu Thạc sĩ Bác sĩ nội trú Việt Anh: răng cửa chìa, khớp cắn đối đầu, góc nghiêng môi nhô Phương án niềng răng mắc cài kim loại: nhổ 4 răng, kéo lùi răng cửa 2 hàm, không dùng vis Kết quả niềng…
