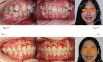
Trường hợp tái phát sau niềng răng mặt ngoài, răng thưa, khớp cắn sâu, được khắc phục bằng mắc cài mặt lưỡi
Hình ảnh trước khi niềng răng tại trung tâm niềng răng chuyên sâu Thạc sĩ Bác sĩ nội trú Việt Anh: đã niềng răng mặt ngoài cách đây vài năm, hiện vẫn còn răng bị xoay, có khe thưa, khớp cắn sâu Phương án niềng răng mắc cài mặt trong: sắp đều lại răng, đóng…
