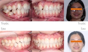
Tình trạng vẩu môi được giải quyết sau khi chỉnh nha mắc cài mặt trong nhổ 4 răng
Hình ảnh trước khi niềng răng tại trung tâm niềng răng chuyên sâu Thạc sĩ Bác sĩ nội trú Việt Anh: răng cửa chìa, góc nghiêng môi vẩu Phương án niềng răng mắc cài mặt trong: nhổ 4 răng số 4, kéo lùi răng cửa 2 hàm Kết quả niềng răng mắc cài mặt trong:…
