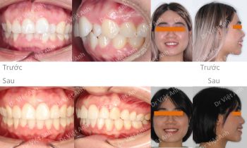
Niềng răng lộn xộn, kéo đóng khoảng mất răng hàm để không phải trồng răng giả, dùng mắc cài mặt lưỡi
Hình ảnh trước khi niềng răng tại trung tâm niềng răng chuyên sâu Thạc sĩ Bác sĩ nội trú Việt Anh: răng cửa 2 hàm lộn xộn, hàm trên mất 1 răng hàm số 6 Phương án niềng răng mắc cài mặt trong: sắp đều răng, mài kẽ tạo khoảng, kéo đóng khoảng mất răng…
