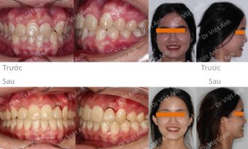
Ca niềng răng lộn xộn, khớp cắn sâu bằng mắc cài kim loại không nhổ răng hoàn thành sau 1,5 năm
Hình ảnh trước khi niềng răng tại trung tâm niềng răng chuyên sâu Thạc sĩ Bác sĩ nội trú Việt Anh: răng lộn xộn, răng cửa không đều nhau, khớp cắn sâu, hàm trên chìa Phương án niềng răng mắc cài kim loại: không nhổ răng, mài kẽ răng tạo khoảng sắp đều vào cắm…
