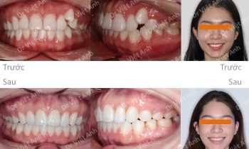
Niềng răng mặt lưỡi điều trị hô thành công sau chưa đến 1 năm rưỡi
Tình trạng trước khi niềng răng tại trung tâm niềng răng chuyên sâu thạc sĩ bác sĩ nội trú Việt Anh: môi bị nhô, răng cửa hàm trên chìa ra trước, răng hàm dưới hơi lộn xộn, đường giữa hai hàm hơi lệch. Phương án niềng răng mặt trong: nhổ 4 răng số 4 để…
