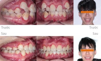
Niềng răng lộn xộn, khớp cắn ngược bằng mắc cài kim loại
Tình trạng trước khi niềng răng tại trung tâm niềng răng chuyên sâu thạc sĩ bác sĩ nội trú Việt Anh: răng khấp khểnh lộn xộn, 2 răng cửa trên bị tụt vào bên trong, khớp cắn ngược, cung răng hàm dưới hơi hẹp và méo Phương án niềng răng mắc cài kim loại: không…
