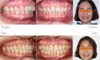
Niềng răng khểnh, khớp cắn sâu không nhổ răng bằng mắc cài mặt lưỡi hàm trên
Tình trạng trước khi niềng răng tại trung tâm niềng răng chuyên sâu thạc sĩ bác sĩ nội trú Việt Anh: khấp khểnh nhiều, khớp cắn sâu, đường giữa cung răng hàm trên và hàm dưới lệch nhau Phương án niềng răng mặt trong: không nhổ răng, chỉ mài kẽ và di xa răng hàm….
