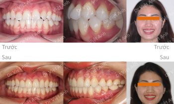
Niềng răng móm, khớp cắn ngược bằng mắc cài pha lê Hàn Quốc
Tình trạng trước khi niềng răng tại trung tâm niềng răng chuyên sâu thạc sĩ bác sĩ nội trú Việt Anh: khách hàng bị móm, môi dưới nhô ra ngoài, khớp cắn ngược, răng lộn xộn xiêu vẹo Phương án niềng răng mắc cài pha lê: nhổ răng khôn và kéo lùi toàn hàm dưới…
