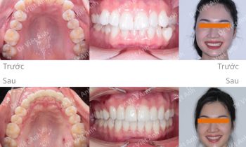
Niềng răng lộn xộn bằng mắc cài mặt trong hàm trên và pha lê hàm dưới
Tình trạng trước khi niềng răng tại trung tâm niềng răng chuyên sâu thạc sĩ bác sĩ nội trú Việt Anh: răng cửa hơi lộn xộn, 2 chiếc răng cửa giữa vênh ra ngoài như răng thỏ. Đường giữa 2 hàm hơi lệch nhau. Phương án niềng răng mặt trong: không nhổ răng, mài kẽ…
