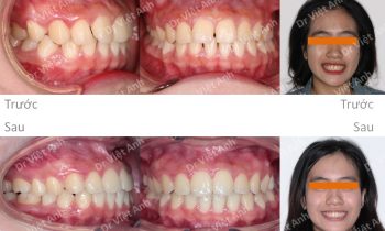
Niềng răng thưa, hô nhẹ, khớp cắn sâu bằng mắc cài pha lê
Tình trạng trước khi niềng răng tại trung tâm niềng răng chuyên sâu thạc sĩ bác sĩ nội trú Việt Anh: các răng cửa hàm trên đều bị thưa, nhất là giữa 2 răng cửa giữa, môi hơi nhô, cằm hơi lẹm. Khớp cắn sâu. Phương án niềng răng: không nhổ răng. Dùng mắc cài…
