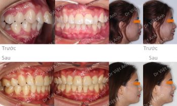
Trường hợp vẩu, răng lộn xộn được khắc phục bằng mắc cài kim loại, nhổ 4 răng
Hình ảnh trước khi niềng răng tại trung tâm niềng răng chuyên sâu Thạc sĩ Bác sĩ nội trú Việt Anh: góc nghiêng bị vẩu, môi nhô, răng hàm dưới lộn xộn, hàm trên chìa Phương án niềng răng mắc cài kim loại: nhổ 4 răng số 4, hàm trên căm 2 vis, kéo lùi…
