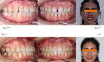
Niềng răng hô, khớp cắn sâu bằng mắc cài kim loại tự buộc
Tình trạng trước khi niềng răng tại trung tâm niềng răng chuyên sâu Thạc sĩ Bác sĩ nội trú Việt Anh: bị hô cả hai hàm, góc nghiêng môi nhô nhiều, cằm lẹm, khớp cắn sâu, răng hàm trên chìa ra trước nhiều so với hàm dưới Phương án niềng răng mắc cài kim loại…
