[Tư Vấn Chuyên Gia] Niềng Răng Mắc Cài Mặt Trong Ở Nha Khoa Việt Anh Hà Nội
Chào bác sỹ Việt Anh! Em muốn niềng răng mặt trong nhưng khi đi khám thì bác sỹ nói giá niềng răng mắc cài mặt trong khá cao, gấp mấy lần niềng răng bình thường dù trường hợp của em không quá phức tạp. Cả hai phương pháp đều sử dụng đến mắc cài mà tại sao…
Giá Chỉnh Nha Mặt Trong 2016 Mới Cập Nhật
[ Tư Vấn Chuyên Gia ] Niềng Răng Mặt Trong Mất Bao Lâu Là Tốt Nhất?
Chỉnh Nha Bí Mật Phương Pháp 90% Người Chỉnh Nha Lựa Chọn
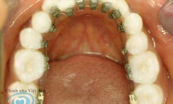
Niềng Răng Mặt Trong Có Nguy Hiểm Không? Ai Nên Niềng Răng Mặt Trong
Vài năm trước, khi dịch vụ nha khoa bắt đầu nở rộ tại Việt Nam, thỉnh thoảng bạn thấy có những người sử dùng những thanh niềng ở mặt ngoài hàm răng của họ. Dịch vụ này được gọi là niềng răng mặt ngoài, với muôn vàn sự bất tiện. Và như thế, một kỹ…
Làm thế nào để chọn trung tâm chỉnh nha mặt trong hiện đại tại Hà Nội
Niềng Răng Mặt Lưỡi Có Tốt Không? Và Có Nên Niềng Răng Mặt Lưỡi
Bạn đang phân vân giữa việc chọn niềng răng mặt ngoài và niềng răng mặt lưỡi?? Bạn đang thắc mắc tại sao giá chỉnh răng mặt trong lại cao hơn hẳn so với giá làm răng thông thường!! Những lợi ích của phương pháp mới này là gì… Và còn rất nhiều câu hỏi khác….
Sự Thật Về Trung Tâm Chỉnh Nha Mặt Lưỡi Uy Tín Tại Hà Nội
Chỉnh Nha Mặt Trong Hàn Quốc Giá Bao Nhiêu Tiền Tại Hà Nội
Chỉnh nha mắc cài mặt trong có hiệu quả không? Phương pháp chỉnh nha với những mắc cài được gắn bên trong răng đảm bảo tính thẩm mỹ cho người mang niềng, nhưng hiệu quả của phương pháp này mang lại có tốt không? Chỉnh nha mặt trong cũng hẳn là sẽ có những ưu và…
