Ca niềng răng mặt trong không nhổ răng khắc phục răng lộn xộn, khớp cắn sâu, cắn chéo dạng kéo
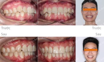
Hình ảnh trước khi niềng răng tại trung tâm niềng răng chuyên sâu Thạc sĩ Bác sĩ nội trú Thanh Thúy Beauty & Health Care: khớp cắn sâu, răng khấp khểnh, răng số 5 bên trái bị cắn chéo Phương án niềng răng mắc cài mặt trong: sắp đều răng, làm phẳng cung răng, cắm…
