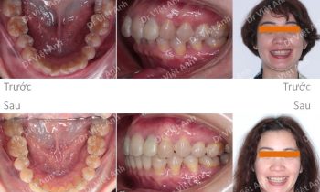
Chỉnh nha hô cho bạn nữ 23 tuổi bằng mắc cài kim loại
Tình trạng trước Chỉnh nha hô tại trung tâm Chỉnh nha chuyên sâu Thạc sỹ Bác sỹ nội trú Việt Anh: môi nhô, khuôn mặt nhìn nghiêng hô, khi cười thấy răng chìa ra ngoài gây mất thẩm mỹ, nhất là 2 răng cửa vừa chìa vừa nhô ra như răng thỏ. Ảnh trong miệng…
