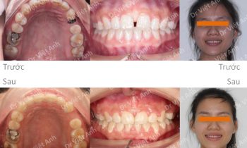
Niềng răng mặt trong sửa lại một ca tái phát sau niềng mặt ngoài, khớp cắn sâu, lệch nhân trung do nhổ răng 1 bên
Hình ảnh trước khi niềng răng tại trung tâm niềng răng chuyên sâu Thạc sĩ Bác sĩ nội trú Việt Anh: đã niềng răng mặt ngoài cách đây vài năm, hiện tại bị khớp cắn sâu, răng lộn xộn, đường giữa hàm trên lệch hẳn sang trái do trước đây chỉ nhổ 2 răng bên…
