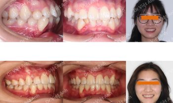
Niềng răng mặt trong khắc phục hô & khấp khểnh, mang lại diện mạo mới
Tình trạng trước khi niềng răng tại trung tâm niềng răng chuyên sâu thạc sĩ bác sĩ nội trú Việt Anh: răng lộn xộn cả 2 hàm, răng hàm trên bị chìa, góc nghiêng thấy môi bị nhô nhiều Phương án niềng răng mặt trong: nhổ răng số 4 hàm trên và răng số 5…
